Detetado caso de tuberculose pulmonar em hotel na região de Lisboa

“Não existe, até à data, evidência de risco acrescido para a população em geral. Todas as medidas de isolamento e tratamento recomendadas têm sido cumpridas pelo caso”, sublinha a DGS.

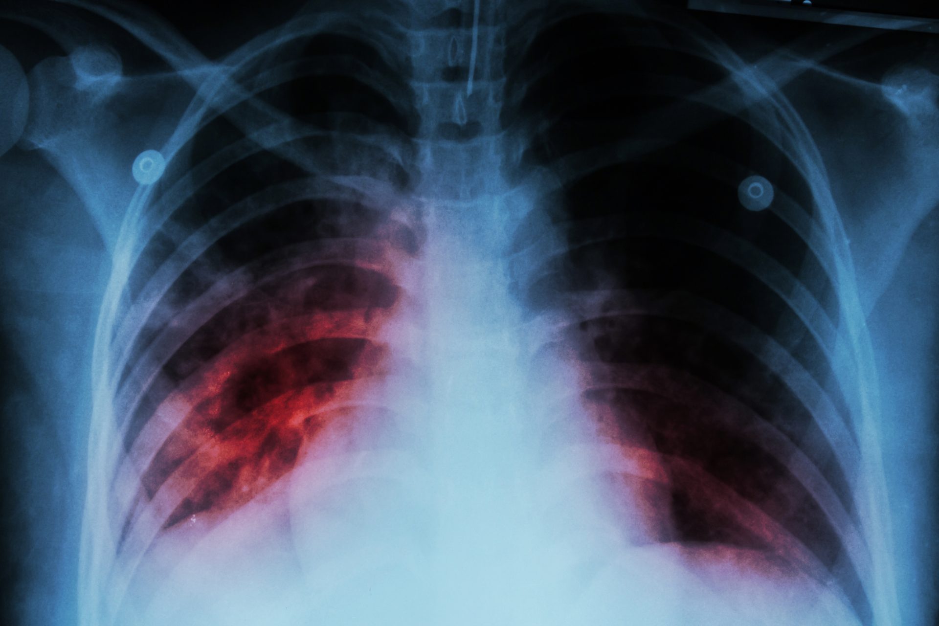
Foi detetado um caso de tuberculose pulmonar num hotel na região de Lisboa, anunciou esta quinta-feira a Direção-Geral da Saúde (DGS). 
 
Em declarações à agência Lusa, na sequência de uma denúncia de casos de tuberculose num hotel, a Direção-Geral da Saúde esclareceu que, “até ao presente momento, foi confirmado um caso de tuberculose pulmonar em profissional com ligação a um estabelecimento hoteleiro, da região de Lisboa”. 

O caso em questão está a ter acompanhamento clínico e terapêutico em Consulta Respiratória da Comunidade da área de residência. 

“Não existe, até à data, evidência de risco acrescido para a população em geral. Todas as medidas de isolamento e tratamento recomendadas têm sido cumpridas pelo caso”, sublinha. 

Neste sentido, a DGS refere que as autoridades de saúde estão a identificar “contactos de risco de acordo com a exposição ao caso, e o seu encaminhamento para rastreio”, seguindo Normas e Orientações de saúde pública aplicadas a estes casos. 

A tuberculose pulmonar transmite-se sobretudo pelo ar, quando uma pessoa com a doença liberta pequenas partículas infetadas ao tossir, falar ou espirrar, refere a DGS. 

“Só a tuberculose que afeta as vias respiratórias é contagiosa. Quando é identificado um caso, as autoridades de saúde rastreiam os contactos próximos – pessoas que estiveram várias horas com o doente – para detetar eventuais infeções”, sublinha a entidade de saúde.